Effect of hypoxia-inducible factor-1 alpha expression on survival in patients with metastatic cervical squamous cell carcinoma treated with first-line chemotherapy and bevacizumab
DOI:
https://doi.org/10.17305/bb.2024.10255Keywords:
Metastatic cervical cancer, squamous cell carcinoma (SCC), vascular endothelial growth factor (VEGF), hypoxia-inducible factor-1 alpha (HIF-1 alpha), bevacizumabAbstract
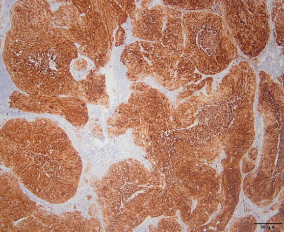
This study addresses the gap in understanding the prognostic relevance of hypoxia-inducible factor-1 alpha (HIF-1 alpha) expression in metastatic cervical squamous cell carcinoma (SCC) patients undergoing anti-vascular endothelial growth factor (VEGF)-based therapy. A retrospective multicenter study (n = 34) explored HIF-1 alpha expression via immunohistochemistry in patients treated with platinum chemotherapy and bevacizumab. Median progression-free survival (PFS) was significantly lower in the HIF-1 alpha low score group compared to the high score group (4.9 vs 12.9 months, P = 0.014). Similarly, the median overall survival (OS) was significantly reduced in the HIF-1 alpha low score group (8.3 vs 20.4 months, P = 0.006). This study, the first of its kind, highlights the prognostic significance of HIF-1 alpha expression in metastatic cervical SCC patients treated with bevacizumab-based therapy.
Citations
Downloads
Downloads
Published
Issue
Section
Categories
License
Copyright (c) 2024 Hasan Cagri Yildirim, Hicran Anik, Deniz Ates Ozdemir, Rashad Ismayilov, Arif Akyildiz, Kerim Cayiroz, Fahri Ceyhan, Oguzalp Kavruk, Deniz Can Guven, Ozturk Ates, Alp Usubutun, Zafer Arik

This work is licensed under a Creative Commons Attribution 4.0 International License.




